予防と健康管理レポート
1.はじめに
私は予防と健康の授業でアスベストについてのビデオを見たのち、選んだキーワードで得られた論文の内容と、将来医師になる立場としてどう考えたかについてレポートを作成したいと思う。
私が選んだキーワードはアスベストについてである。アスベストは石綿製品工場、自動車工場、断熱材製造工場、またビルの解体作業をしているところなど私たちの身の回りにも存在します。そして大気中に広く分布し、一般住民の肺組織からもアスベスト小体が検出される。
2.選んだキーワード
“Asbestos” “Smoking”
3.選んだ論文の内容の概略
『Asbestos-Related Lung Disease』〜アスベスト関連の肺疾患〜
アスベスト繊維の吸入は、肺癌・石綿症・胸膜プラーク・良性の胸水・悪性中皮腫を含むいくつかの呼吸器疾患をもたらすかもしれない。現在、暴露が規制されているけれども、暴露と臨床上の病気間の長い潜伏期間のために、これらの病気を示し続ける。現れるサインと症状は非特異性の傾向がある。このように職業の経歴は、病気の疑いを導くことを助ける。リスクの高い人は、建設業者・ボイラー製造人・造船所労働者・鉄道労働者および、ベテランのアメリカ海軍も含む。全ての努力は進行中の暴露を最小にするためになされるべきである。これが結果を利用するかどうかに関係なく、それが不明瞭であるけれども、かなりのアスベスト暴露の経歴を持つ患者は診断検査に引き続き評価を保証するかもしれない。かなりの暴露と呼吸困難の患者は、胸部X線撮影と肺活量測定をしなければならない。予後は、特異的疾患実体に依存する。石綿症は一般にゆっくり進行するが、一方、悪性中皮腫という非常に悪い予後がある。アスベスト暴露および肺癌患者への治療は、肺癌を持つあらゆる患者の方法と同じである。タバコの煙への暴露がアスベスト暴露の経歴を持つ患者で肺癌を発達させる危険を増すので、禁煙は欠かせない。石綿症または肺癌患者は、インフルエンザと肺炎球菌の予防接種を受けなければならない。
アスベスト(世界中の堆積物中に存在する結晶鉱物)は、自然界で最も小さな繊維物質である。その柔軟性、耐久性、熱、化学腐食に対する抵抗性のため、アスベストは工場で広く使われているようになった。1890年、アスベスト繊維の吸入の最初の肺疾患との発生関連の報告があった。そして、アスベスト暴露に起因している最初の死は1907年に報告された。暴露をコントロールする法律は1931年にイギリスで施行された。しかしアメリカ合衆国は1971年まで暴露を制限する最初の法律を制定しなかった。
アスベスト関連の疾患の世界的な発病率のピークは、アスベストのピーク使用期間(1960〜1970年代)の30〜40年後に起こることになっている。広がった悪性中皮腫(長い潜伏期を伴う)のために、その発病率は2020年までヨーロッパを上回ると予測されている。アメリカ合衆国での悪性中皮腫の発生率は2000年から2004年までの1年につき2000件のケースが起こると考えられた。他の研究では、1985年〜2009年までにアスベストに関連する肺癌での死亡者の平均が毎年3200件あるだろうと示唆した。
《アスベスト関連の肺疾患》
アスベスト繊維の吸入は、多くの異なった病理的経過となることがある(表1)。これらは、良性プラーク、良性胸水、そして悪性中皮腫のような胸膜ベースの異常の発達を含んでいる。そのうえ、石綿症、重大な塵肺と、多くのアスベスト関連肺癌の新しい症例は起こり続けます。大部分のアスベスト関連の肺疾患患者には、激しい暴露暦がある。しかしながら、重大な疾患は最小の暴露で起こることもあり、また、まれに不明の暴露によって起こることもある。
(表1);症状・有病率・アスベスト関連肺疾患の治療
病名 主症状 罹患率 治療法
|
石綿症 |
呼吸困難 |
|
患者:200000人/年 |
非特異的治療 |
|
||
|
|
から咳 |
|
死亡数:2000人 |
肺がんのための監視 |
|
||
|
|
など |
|
|
|
禁煙 |
|
|
|
|
|
|
|
|
|
|
|
|
肺がん |
胸痛、咳 |
|
死亡数:2000〜300 |
手術、放射線療法、 |
|
||
|
|
呼吸困難 |
|
0人/年 |
化学療法 など |
|
||
|
|
喀血 |
|
|
|
|
|
|
|
|
体重減少 |
|
|
|
|
|
|
|
|
疲労 |
|
|
|
|
|
|
|
|
転移と直接浸潤によっ |
|
|
|
|
||
|
|
て起こる症状 |
|
|
|
|
|
|
|
|
|
|
|
|
|
|
|
|
中皮腫 |
胸痛、咳 |
食道圧縮 |
死亡数:約2000人 |
手術、放射線療法、 |
|
||
|
|
呼吸困難 |
IVC浸潤 |
/年 |
化学療法 |
|
|
|
|
|
体重減少 |
|
|
|
|
|
|
|
|
疲労 |
|
|
|
|
|
|
|
|
胸水 |
|
|
|
|
|
|
|
|
心膜浸潤 |
|
|
|
|
|
|
|
|
|
|
|
|
|
|
|
|
胸膜プラーク |
通常無症状 |
3〜58%のアスベスト |
禁煙 |
|
|
||
|
|
胸部レントゲンで偶発 |
に暴露された人 |
更なる暴露からの撤回 |
||||
|
|
|
|
一般的人口の0.5〜 |
並列で他の呼吸器疾患 |
|||
|
|
|
|
8% |
|
の処置 |
|
|
アスベスト関連の病気の検査は、かなりアスベストを暴露した経歴のある人に適切かもしれない。しかし、一般人の検査は保証されない。重篤な暴露経験を持つ人が労作性呼吸困難を訴えるのなら、初期の評価で、暴露経歴と身体検査の付け加え、胸部X線撮影と肺活量測定をしなければいけない。異常の証拠がないならば、CTが考慮される。なぜなら、CTは胸膜ベースのプラークを示すかもしれないし、またこれらの病変と程度な繊維症を検出するにおいて、胸部X線よりもより敏感に反応するから。プラークの存在は、かなりのアスベスト吸入を示す。全ての肺機能テスト(肺気量と拡散能力測定を含む)は、異常な肺活量測定結果、もしくはアスベスト関連疾患が疑われる患者で実行しなければならない。もし、仕事、または機能的な障害の損失ああるならば、労災補償を得る資格があるかもしれない。
石綿症の存在は、肺癌の発症に対する独立危険因子である。このように、呼吸困難、咳、胸部不快感または体重減少のような症状の出現は、迅速で完全な検査が必要とする。現在の推薦は、かなりのアスベストを吸引した経歴を持つ人や、現在暴露している人を、生涯にわたって監視し支えることである。アメリカの胸部協会は、胸部X線撮影を実行し、そして疾患を持つ人が3〜5年毎年肺機能テストをすることを勧めている。スクリーニングは結果を改善することはできないがしかし、それは早期に肺癌を特定するのを助けるかもしれない。
肺癌
かなりのアスベスト暴露は、小細胞や非肺癌細胞の発達の危険を増大する。多くの研究者は石綿症患者と、アスベストを吸入したことがあるが石綿症でない人を比較した上で、石綿症患者の非肺癌細胞発生の増加を示した。肺癌はアスベストにさらされた非喫煙者にも起こるとができる。しかしこの危険性は喫煙によって拡大する。喫煙する全ての患者はこの危険性に注意しなければならなく、そして禁煙で患者を補助するように最善の努力をすべきである。非中皮腫アスベスト関連肺癌は、喫煙のみで起こる肺癌と臨床的に区別することができない。したがって、非石灰化肺小結節の評価は、アスベストにさらされた経歴が有る無しにかかわらず、患者の症状は似ている。
石綿症
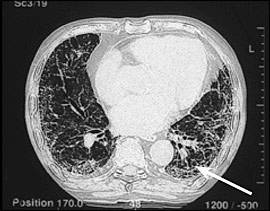
石綿症は繊維症肺疾患または塵肺です。そして、アスベスト繊維の吸入から生じる。多くの患者において、通常比較的マイナーな徴候をもたらす非常に軽くて痛みのない繊維症によって特徴づけられる。一般にピークのアスベスト暴露と診断の間の潜伏期間は20〜30年。身体検査における聴診のひび割れ音を伴う労作性呼吸困難の病訴は、更なる迅速な検査を促さなければならない。肺機能の初期の変化は、減少した拡散能力と労作性な酸素不飽和化であるかもしれない。より病気の過程が進展するのつれ、肺機能テストは、全肺気量と肺活量の減少と伴う、制限的パターンをとるだろう。胸部X線撮影は、一般的に増加した間質陰影としばしば胸膜プラークを示す。主に胸部のCT上の典型的検査結果は、増加した間質陰影を含む。後に蜂巣肺になることは明瞭かもしれない。(図1)多くの点で、石綿症は突発性肺繊維症と臨床的に類似している。しかし、石綿症は通常ゆっくり進行するが、突発性肺繊維症は急速に進行する特徴を持っている。

(図1);胸部CT画像
重症石綿症患者
かなりの職業的なアスベストの暴露の経歴とCT検査の経歴があれば診断を立証するために外科的肺生検をする必要はめったにない。外科的生検が実行される患者の病理学的パターンは普通の間質性肺炎のものである。これは、患者に特発性肺線維症で起こる同じ病理学であり、また、コラーゲン血管系の病気に関連している肺線維症で見られるかもしれない。アスベスト小体は組織の特別な鉄の汚損で特定されます。そして、これらの小体の数は繊維症の厳しさと互いに関連する。
肺の組織におけるそれらの存在は石綿肺症の診断を確認できる。
良性胸膜疾患
アスベスト吸入への最も一般的な病理的な肺の反応は胸膜プラークの出現である。時間がたつにつれて、コラーゲンは胸膜に蓄積され石灰質になるかもしれない。ほとんどのプラークが完全に無症候性でそして、プラークが悪性の傷害に変形するという証拠が全くない。
プラークは、アスベストの長期に渡っての重篤に暴露された人々のおよそ50%で起こっている。したがってアスベスト暴露のマーカーである。
プラークは明瞭な胸のレントゲンでいつも目に見えるというわけではないが、CT検査で見つけられた最大50パーセントのプラークを特定するだろう。 しかしながら通常、胸のレントゲンが適切で、そしてCTの使用はたいてい診断不確実性か確証試験のためにされる。
良性の石綿症胸水(通常片側)は、暴露後10〜20年以内のアスベスト関連胸膜疾患の最も一般的な徴候で、時間がたつにつれ流出物は盛衰するかもしれない。
どんな新しい胸水の発達も結核皮膚テストと胸腔穿刺を含む徹底的な診断を強制する。 アスベスト胸水は滲出性であるが、 しかしながら、滲出性胸水の場合では胸膜生検が必要であるかもしれない。さらにまた、胸膜炎の痛みによる胸水は悪性中皮腫の発現かもしれない。それゆえ、良性の石綿症胸水は診断の除外である。
広がった悪性中皮腫
広がった悪性中皮腫は、胸膜で最も一般的な、中皮の細胞から誘導された攻撃的な腫瘍である。それは一様に診断から6〜18カ月生存期間ので致命的である。 アスベストが存在する中で働いていた人々の中では、生涯で中皮腫を発症するというリスクは高いで。状態は比較的まれだが、しかし、アメリカ合衆国では毎年約2000の新しいケースがあり、比較的低レベルである暴露でさえ中皮腫を発症するという増加する危険性に関連している。
悪性の中皮腫の提示兆候は漠然としており、患者が気付く前にしばしば遅れに陥る。
同様に、兆候の非特異性の性質により診断は難しくなる。 胸痛と呼吸困難は一般的な初期の症状である。胸部レントゲンは、ほぼ片側の大きな胸水を示すだろう。胸部CTも同じ特徴を明らかにするだろう。しかし、胸膜を不規則に厚くするものも目に見えるかもしれない。 より進行した病気には、近隣の構造に侵入する中皮腫に傾向から生じている、大静脈症候群、Horner's症候群、嚥下障害、または他の余病があるかもしれない。
病理学的診断は難しく、そして多くのケースがまず最初に誤診されることもある。
緩和剤の放射線治療は特に転移からの兆候を減少させるのにおいて有効である場合がある。
現在の臨床試験は外科、放射、および化学療法の組み合わせを強調するが、しかし、療法は生存率を改善することがまだ明確に示されていない。 最近の研究は検査の手段として有用であることが分かるかもしれない血清マーカー(例えば、mesothelin関連のタンパク質血清、オステオポンチン)の識別に焦点を合わせた。
4.考察
ビデオを見て一番感じたことは、なぜ30年よりも前にヨーロッパやアメリカで起こった過ちをわかっていながら繰り返したのかという点でした。危険性がわっかっていながら放ったらかしにし、悪性中皮腫などを訴える患者がでてきてから対処するなんて、遅すぎると思った。主な石綿にはクリソンタイル(白石綿)、アモサイト(茶石綿)、クロシドライト(青石綿)の3種があるが、アモサイトとクロシドライトは1995年に禁止物質に指定されていたが、クリソンタイルにおいては2004年10月より一部製品において使用禁止になったなど、ごく最近のことであり、まだまだ私たちの身の回りにアスベストは存在するだろう。石綿肺の治療法はなく、健康管理、予防するしかない。国や医療従事者はもっとアスベストの危険性を主張すべきであると思った。また、アスベスト吸引者の喫煙は、非常に肺癌率を高めるということがわかっている。しかし、実際のところ自分がアスベストを吸引したかしていないかわからない事の方が多いと思う。自分がたばこを吸わなくても、副流炎による影響も大きいだろう。それに、主流炎より副流炎の方が発癌物質を多く含んでいることがわかっている。このようなことも含めもっとタバコの恐ろしさ、他人への影響を喫煙者に教えていかなければいけないと思った。
5.まとめ
今回アスベストをレポートの題に選んで、アスベストがどれだけ肺癌と関連があり、恐ろしい物質であることがわかった。どれだけ耐久性が良く、また耐熱性もありその上軽いといった、とても便利なものであっても、危険物質とわかればすぐさま使用を止めること。どんなものであってもそうです。
私も小さい頃、工事中の塵が舞っているような所で遊んでいた記憶がある。もしかしたら30年40年後、悪性中皮腫になっているかもしれない。現在まだまだアスベストを使用している建物がたくさんあるだろう。今後、子どもたちが知らないうちに石綿粉塵を吸入しないよう、細心の注意をはらっていかなければいけないと思った。また、喫煙についても今まで以上にタバコというものは体に毒であることがわかった。医師を目指す私たちがまずしなければいけないことは、まず、自らが、そして自分の周りの人たちへの禁煙をすることがいかに大切かということを教えていくことだと思った。